医院ブログ
症例写真

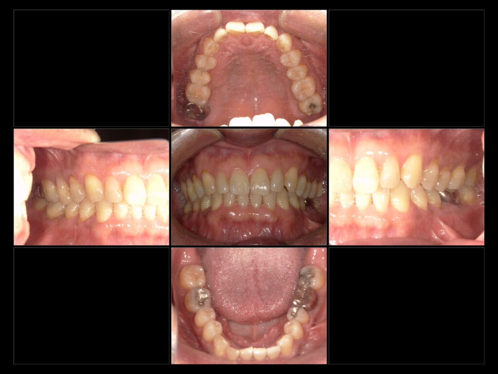
↑初診時口腔内写真

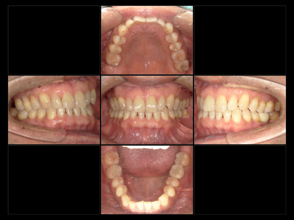
↑治療終了時口腔内写真
自費治療の症例をご紹介します
自然な見た目と機能性の両立を目指し、セラミック・インプラント治療を行いました!
「しっかり噛める」「見た目が気にならない」
そんなお悩みをお持ちの方はかしわ歯の国にぜひご相談ください!

南柏の歯医者 専門医在籍の総合歯科医院
かしわ歯の国総合歯科・矯正歯科本院
〒277-0863
千葉県柏市豊四季695-19
平日 9:30~13:00 / 14:30~18:30
土曜 9:30~13:30 / 14:30~18:00
日曜 9:30~14:30
南柏の歯医者「かしわ歯の国総合歯科・矯正歯科本院」は、JR常磐線「南柏駅」から徒歩10分
虫歯や歯周病の治療を行う一般歯科部門をはじめ、根管治療や予防歯科、口腔外科、審美歯科、矯正歯科、インプラント治療、入れ歯治療、小児歯科、小児矯正、いびき治療、訪問歯科など、多種多様な診療メニューに対応しています。
