ブルーラジカル


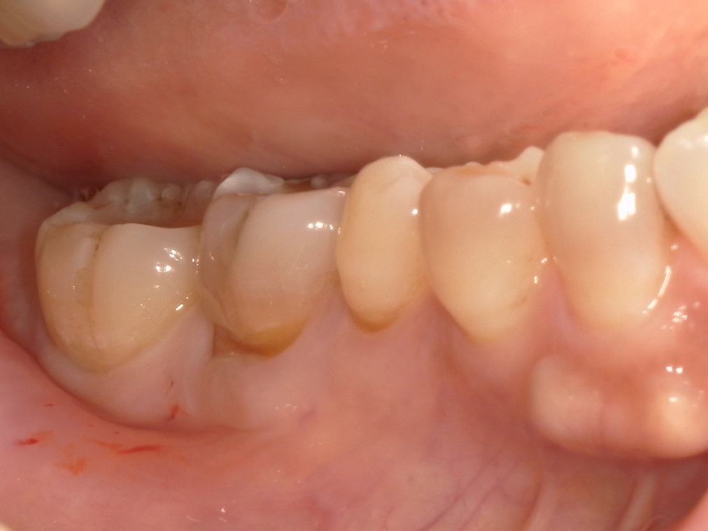
↑照射前


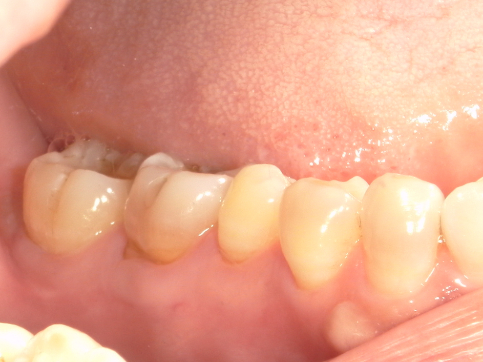
↑照射後
*治療内容 右下7ブルーラジカル処置
*年齢 59歳
*性別 女性
*副作用 1週間くらい歯茎ピリピリした その他特になし
*費用 19,800円
*来院回数 4回
右下7の遠心部にポケット9ミリ入り、ブルーラジカルのご案内をさせていただいたところ、
やってみたい!と意欲をみせてくれました。
セルフケアもすごく丁寧にされる方だったので、効果もしっかり発揮されました!
再評価時は、ポケット4ミリと大幅に改善がみられました。
ご本人もやってよかった!と喜んでくれて担当衛生士もよかったです!とよろこんでました!
ブルーラジカルの治療件数が多く増えて来ています。
お悩みの方はぜひご相談ください!

南柏の歯医者 専門医在籍の総合歯科医院
かしわ歯の国総合歯科・矯正歯科本院
〒277-0863
千葉県柏市豊四季695-19
平日 9:30~13:00 / 14:30~18:30
土曜 9:30~13:30 / 14:30~18:00
日曜 9:30~14:30
南柏の歯医者「かしわ歯の国総合歯科・矯正歯科本院」は、JR常磐線「南柏駅」から徒歩10分
虫歯や歯周病の治療を行う一般歯科部門をはじめ、根管治療や予防歯科、口腔外科、審美歯科、矯正歯科、インプラント治療、入れ歯治療、小児歯科、小児矯正、いびき治療、訪問歯科など、多種多様な診療メニューに対応しています。
