症例ー全顎治療ー
上:初診時口腔内写真
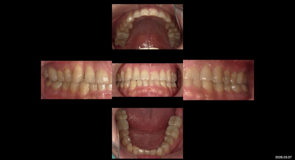
下:補綴治療後口腔内写真


主訴
前歯のすき間が気になる
年齢
40代
性別
男性
治療箇所
インビザラインGO
右上6、左上4、左下7.6、右下6:オールセラミックCr
右上4.5、左下5.4、右下4.5:e-max Cr
目的
噛み合わせ・再発予防
副作用
染みる
疼痛
発音障害
来院年数
約8ヶ月
費用
約209万
本日は補綴治療を終えた患者様の症例写真です
前歯の歯並びと、噛み合わせの改善・予防治療を目的に奥歯の補綴治療を行いました。
現在はメンテナンスに通っていただきながら経過観察を追っております。
当院は根本治療を掲げて、専属のトリートメントコーディネーターが患者様のお口にあった治療をご提案させていただいております。
お口のことでなにか不安なことがありましたら、お気軽にご相談ください。
かしわ歯の国総合歯科・矯正歯科
千葉県柏市豊四季695ー19
TEL:04ー7189ー19
南柏駅徒歩9分

南柏の歯医者 専門医在籍の総合歯科医院
かしわ歯の国総合歯科・矯正歯科本院
〒277-0863
千葉県柏市豊四季695-19
平日 9:30~13:00 / 14:30~18:30
土曜 9:30~13:30 / 14:30~18:00
日曜 9:30~14:30
南柏の歯医者「かしわ歯の国総合歯科・矯正歯科本院」は、JR常磐線「南柏駅」から徒歩10分
虫歯や歯周病の治療を行う一般歯科部門をはじめ、根管治療や予防歯科、口腔外科、審美歯科、矯正歯科、インプラント治療、入れ歯治療、小児歯科、小児矯正、いびき治療、訪問歯科など、多種多様な診療メニューに対応しています。
