症例ー補綴治療ー
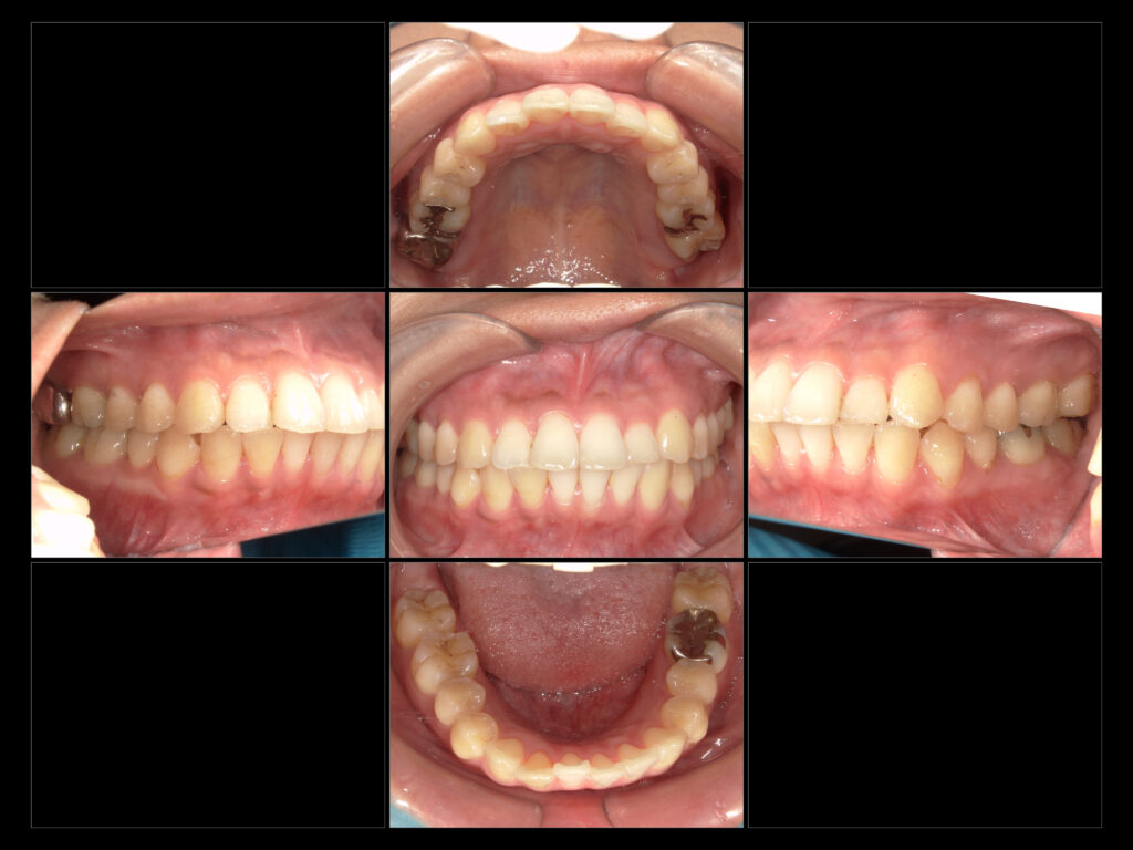
上:初診時口腔内写真
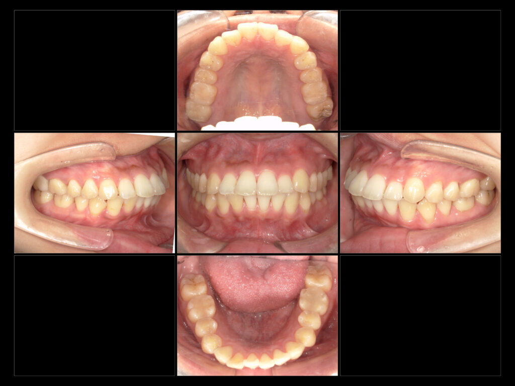
下:治療後口腔内写真


主訴
銀歯の部分をセラミックに変えて予後を良くしたい。
治療内容
e-max In→右上6、右下6、左上6
e-max On →左下6
e-maxCr→右上7
年齢
31歳
性別
女性
目的
銀歯をセラミックに変えて予後を良くしたい。
副作用
染みる
治療期間
約2年
費用
約40万円
来院回数
16回
柏市かしわ歯の国総合歯科・矯正歯科
今回は補綴治療を終えた患者様の症例写真です。
を目的に補綴物のやり替えなど全顎的に根本治療を行いました。
現在は、メンテナンスに通っていただきながら経過観察を追っていきます。
当院では根本治療を掲げて、患者様のお口あった治療をご提案させていただいております。
お口のことでなにか不安なことがありましたら、お気軽にご相談ください。
かしわ歯の国総合歯科・矯正歯科
TEL 04ー7189ー8801

南柏の歯医者 専門医在籍の総合歯科医院
かしわ歯の国総合歯科・矯正歯科本院
〒277-0863
千葉県柏市豊四季695-19
平日 9:30~13:00 / 14:30~18:30
土曜 9:30~13:30 / 14:30~18:00
日曜 9:30~14:30
南柏の歯医者「かしわ歯の国総合歯科・矯正歯科本院」は、JR常磐線「南柏駅」から徒歩10分
虫歯や歯周病の治療を行う一般歯科部門をはじめ、根管治療や予防歯科、口腔外科、審美歯科、矯正歯科、インプラント治療、入れ歯治療、小児歯科、小児矯正、いびき治療、訪問歯科など、多種多様な診療メニューに対応しています。
