被せ物症例

治療前↑

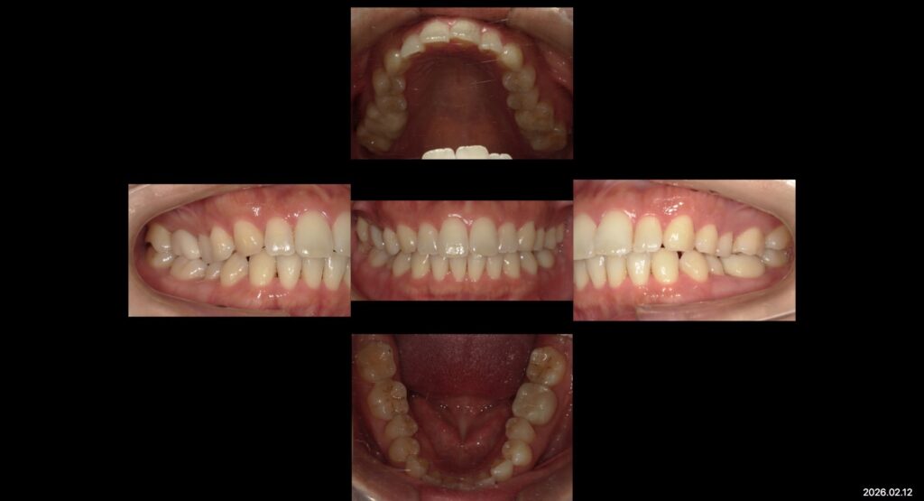
治療後↑
●主訴
右下の歯が気になる。マウスガードに穴が空いた。
●治療内容
右上6e-maxCr
右上7e-maxOn
左下6e-maxCr
マウスガード作成
●年齢
40代
●性別
女性
●目的
虫歯治療。予後のいい補綴治療。マウスガード作成で咬合力から歯を守る。
●副作用
かぶせ物ができるまで2週間仮の材料の期間がある。
●治療期間
5ヶ月
●費用
30万
●来院回数
20回

南柏の歯医者 専門医在籍の総合歯科医院
かしわ歯の国総合歯科・矯正歯科本院
〒277-0863
千葉県柏市豊四季695-19
平日 9:30~13:00 / 14:30~18:30
土曜 9:30~13:30 / 14:30~18:00
日曜 9:30~14:30
南柏の歯医者「かしわ歯の国総合歯科・矯正歯科本院」は、JR常磐線「南柏駅」から徒歩10分
虫歯や歯周病の治療を行う一般歯科部門をはじめ、根管治療や予防歯科、口腔外科、審美歯科、矯正歯科、インプラント治療、入れ歯治療、小児歯科、小児矯正、いびき治療、訪問歯科など、多種多様な診療メニューに対応しています。
