補綴治療

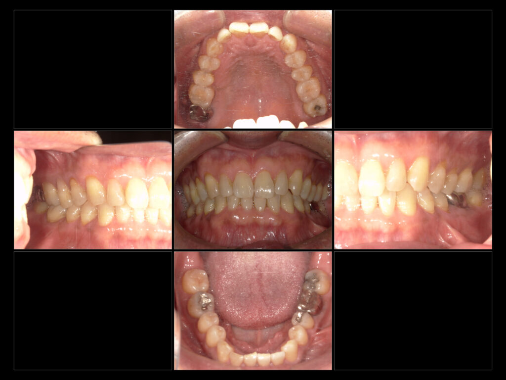
↑ R7 1/7 初診時口腔内写真

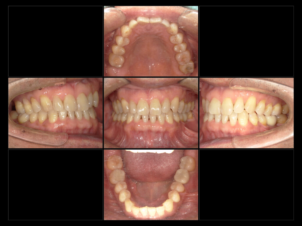
R8 2/17 治療終了時口腔内写真
●主訴 右上奥20年前に抜歯したところが腫れてる気がする
左下奥かぶせ物に物詰まる
●治療内容 左下6インプラント
左下57右下6 e-maxIn
●年齢 68歳
●性別 男性
●副作用 特になし
●治療期間 1年2ヶ月 現在メインテナンスで経過観察中
●費用 764,500円

南柏の歯医者 専門医在籍の総合歯科医院
かしわ歯の国総合歯科・矯正歯科本院
〒277-0863
千葉県柏市豊四季695-19
平日 9:30~13:00 / 14:30~18:30
土曜 9:30~13:30 / 14:30~18:00
日曜 9:30~14:30
南柏の歯医者「かしわ歯の国総合歯科・矯正歯科本院」は、JR常磐線「南柏駅」から徒歩10分
虫歯や歯周病の治療を行う一般歯科部門をはじめ、根管治療や予防歯科、口腔外科、審美歯科、矯正歯科、インプラント治療、入れ歯治療、小児歯科、小児矯正、いびき治療、訪問歯科など、多種多様な診療メニューに対応しています。
